Dental Smile Gallery Mission Viejo
Timeless Smiles Start Here

Welcome to our Smile Gallery at SY Dentistry, where every transformation tells a story of renewed confidence and vibrant smiles. From subtle enhancements to full smile makeovers, you’ll see how Dr. Sy combines artistry, precision, and state-of-the-art techniques to bring each patient’s dream smile to life. Browse through these real patient journeys and imagine what the next chapter might look like for you.
About Us Meet the Dentist Meet the Team Tour Our Office Advanced Dental Technology View Our Services
4 Veneer Before and After:
From worn composites to a refreshed, natural smile. These four custom veneers were designed to complement the patient’s unique features for a subtle and lifelike transformation.
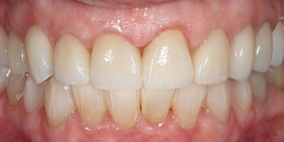
8 Veneer Before and After \ 8 Veneer Close Up:
After years with mismatched crowns, this patient was ready to focus on herself. Eight custom veneers and crowns now give her a natural, balanced smile that feels like her own smile.
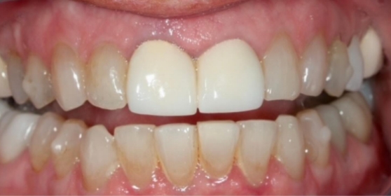
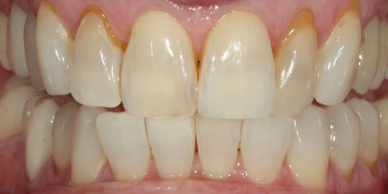
10 Veneer Before and After:
This patient’s worn, yellow teeth were transformed with 10 custom veneers into a brighter, age-appropriate smile that enhances her appearance without looking overdone.
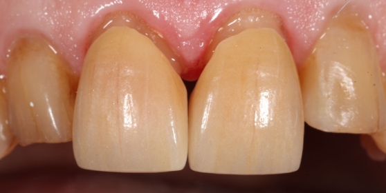
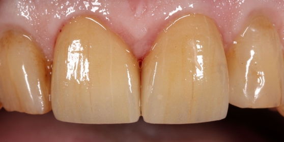
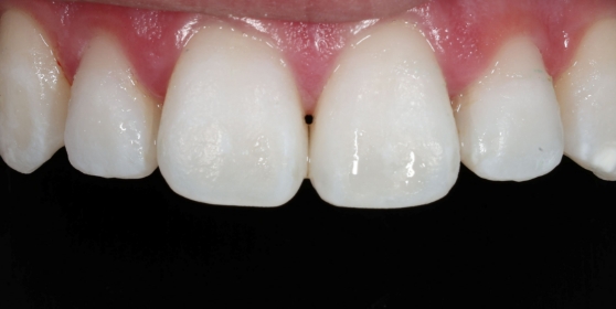
Single Tooth Matching:
Matching a single natural tooth is one of the most challenging procedures, but we achieved it here. The patient’s previously grey tooth now appears perfectly white and blends seamlessly with the rest of the smile.
Implant Crown Before and After:
This implant bridge and crown were carefully crafted to match the surrounding teeth. The result is a full, confident smile that looks natural and makes it impossible to tell teeth were ever missing.
Natural Crowns Front Teeth:
This older patient needed new front teeth without a complete makeover. The crowns were precisely matched to his natural shade and shape, so they look identical to the adjacent teeth.
Orthodontic White Spot Removal:
We treated these long-standing white spots using ICON Resin Infiltration — a painless, drill-free, and anesthesia-free procedure. Quick, effective, and minimally invasive.